Taenia solium taeniasis/cysticercosis

Introduction

Taenia solium taeniasis/cysticercosis is a zoonotic parasitic disease complex ranked first on the FAO/WHO list of foodborne parasitic infections (FAO/WHO, 2014) and fourth on the 31 investigated foodborne hazards described in a recent report on the WHO Global Estimates and Regional Comparisons of the Burden of Foodborne Disease in 2010 (Havelaar et al., 2015).

Cyst meat figuur 2Cysticercosis T. Solium LifecycleEndemicity Taenia Solium

 

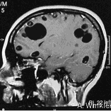
The normal life cycle entails a human final host with the adult tapeworm (taeniasis) and a pig intermediate host with the metacestode larval stage (cysticercosis). People get infected by the consumption of undercooked infected pork. Pigs get infected by the consumption of infected human stool with tapeworm eggs/proglottids. Unfortunately, people can also act as dead end intermediate host, after ingestion of tapeworm eggs via fecal-oral contamination, whereby the larval stages have a tendency to settle in the human central nervous system (Murrell, 2005). The latter condition, neurocysticercosis (NCC) is responsible of about 30% of acquired epilepsy cases in endemic areas (Ndimubanzi et al., 2010).

Taenia solium in the EU/Belgium

T. solium was eradicated in the EU through meat inspection, improved sanitation and modern pig husbandry conditions. However, an increasing number of cases is being detected in the EU, probably primarily due to increased migration (immigration and increased travel to endemic areas). Autochthonous and/or imported cases of NCC have been detected in Spain, Portugal, France, Germany, Italy and several East European countries (Devleesschauwer et al., 2015), probably representing only the tip of the iceberg. To date, European countries do not have surveillance programmes for the disease.
From a pig host point of view, meat inspection is obligatory, but has a very low sensitivity, especially for light infections (Dorny et al., 2004). Cysticerci have been detected in pigs in the EU (EFSA, 2010), though the lesions have never been confirmed molecularly. On an EU/Belgian level risk factors such as human migration from endemic areas into the EU, movement of pigs or pig products into the EU, pig farming systems with outside access and lack of knowledge and guidelines for the (veterinary) public health sector should be looked into (Gabriël et al., 2015).

Ongoing projects:

COST ACTION TD1302 CYSTINET
Taenia solium (pork tapeworm) and T. saginata (beef tapeworm) cysticercosis (CC)/taeniosis are zoonoses of public health importance, with significant economic impacts on the health and meat (pork and beef) sectors within and outside the EU. The main objective of this Action is to build a strong, extensive, multi-disciplinary scientific network to induce sustainable collaborations with the aim to advance knowledge and understanding of these zoonotic disease complexes. Specific objectives include the development of innovative diagnostic and cost-efficient control tools, assessments of disease burden and economic impact, as well as the development of harmonized reporting and management procedures. Intra-European collaboration is essential to stop the development of these diseases within the EU.

Logo CystinetLogo COST


Funding:

COST

Partners:

36 countries/organisations
Also: www.cystinet.org