Artificial Intelligence for medical image analysis and computer-aided brain tumour diagnosis
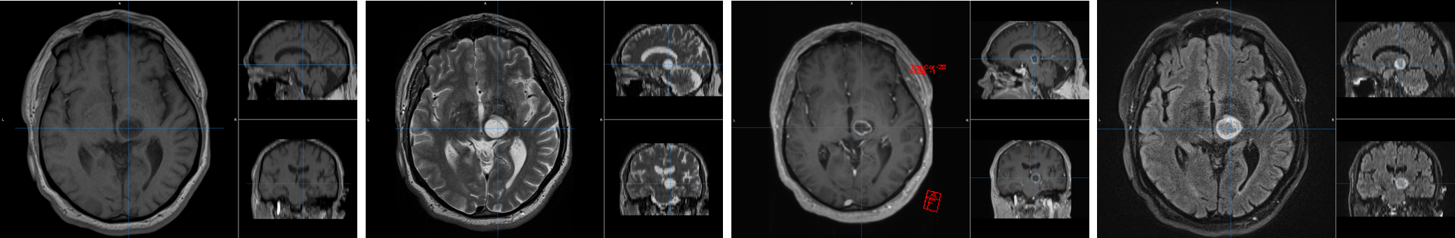
The increasing amount of data recorded and stored into electronic health records becomes overwhelming for healthcare professionals. This project aims to address the growing need to assist physicians in processing these large amounts of data through the use of Artificial Intelligence (AI). Especially in diagnostic imaging, AI can help radiologists meet the rising demand for imaging examinations and prevent diagnostic errors. In this project we will focus on designing AI for accurate and automatic brain tumour characterisation based on medical imaging.
In Belgium, 800 people are diagnosed with a primary brain tumour each year. Their life expectancy depends strongly on the tumour type and molecular characteristics, and ranges from several decades for low-grade tumours to only about one year for the most malignant types. An accurate diagnosis and prediction of genetic markers is therefore of primary importance. In this project, we will implement a method for automated, non-invase brain tumour characterisation based on pre-therapy MRI, using Convolutional Neural Networks.

Contact: Milan Decuyper