Cardiologie
Op deze afdeling kunnen zowel patiënten met cardiologische aandoeningen terecht alsook gezonde honden en katten voor een screening naar erfelijke hartaandoeningen (bv. voor de fok).
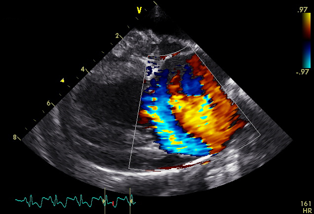
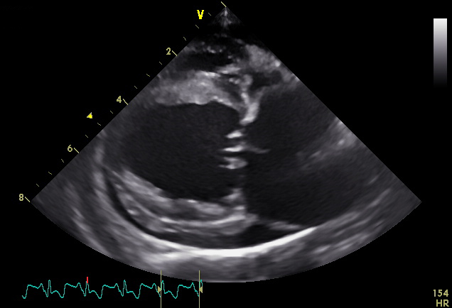
Bij cardiologische patiënten worden auscultatie, elektrocardiografie, Holter-monitoring (24u ECG) en echocardiografie met Doppler door ons uitgevoerd. Daarnaast wordt ook onderzoek verricht naar oorzaak, diagnose en therapie van congenitale en verworven hartaandoeningen bij honden, katten en andere diersoorten.
Verder kan u bij ons terecht voor behandeling van aangeboren hartafwijkingen met een katheteringreep (sluiten van persisterende ductus arteriosus, ballonvalvuloplastie voor pulmonaalklepstenose). Voor honden/katten met een te trage hartslag (zgn. bradyaritmieën) bieden we pacemaker-implantatie aan. We zijn één van de weinige centra wereldwijd die elektrofysiologisch onderzoek met 3D-mapping en radiofrequentie ablatie (‘verhitten’ van het abnormale hartweefsel) uitvoeren ter behandeling van hartritmestoornissen met een te snelle hartslag (zgn. tachyaritmieën).

